2025年首个FDA获批上市的激酶抑制剂会花落谁家呢?
- 北京义翘神州科技股份有限公司2025年1月2日 3:32 点击:556
前言动态
大家是否了解1型神经纤维瘤病(NF1)这一罕见病呢?在医学上它被称为拆不掉的“定时炸弹”、切不完的肿瘤。
NF1临床表现多样,影响皮肤、眼部、神经等系统。丛状神经纤维瘤(PN)作为NF1的一种表现形式,其发病率为30%-50%。PN在儿童期生长最迅速,可造成多种并发症,恶变风险高。
手术治疗PN效果有限,难以完全切除,且复发率高,迫切需要新的治疗手段。近年来,靶向治疗取得了显著进展,尤其是MEK抑制剂。研究发现,通过抑制MEK活性,可以有效抑制肿瘤的无限增殖和生长。
据SpringWorks Therapeutics宣布,美国FDA已接受该公司在研MEK抑制剂Mirdametinib的新药申请(NDA)。该申请的PDUFA目标日期为2025年2月28日,有望成为2025年首款获批上市的激酶抑制剂,用于治疗儿童和成人1型神经纤维瘤病相关的丛状神经纤维瘤(NF1-PN)。
MEK抑制剂研究正当时,目前全球已获批上市5款药物。新型MEK抑制剂研究也在火热进行中。
SignalChem Biotech(义翘神州全资子公司)专注于研究、开发和生产高质量酶类蛋白产品,已成功开发20多种MEK激酶野生型和突变型蛋白,助力抑制剂药物发现和开发项目。
正视1型神经纤维瘤病治疗难点,守护罕见病患者预后
神经纤维瘤病(neurofibromatosis, NF)是一种常染色体显性遗传性疾病,于2023年进入我国《第二批罕见病目录》。NF在临床和遗传学上主要有3种类型:NF1、NF2和雪旺细胞瘤。NF1属于良性肿瘤,占所有神经纤维瘤病的96%。
NF1多在儿童期发病,临床表现丰富,可累及皮肤、软组织、内脏、骨骼及中枢神经系统等。典型的临床表现有咖啡牛奶斑(6个以上)、腋窝和(或)腹股沟雀斑、神经纤维瘤(如丛状神经纤维瘤)等。年龄渐长,患儿可能出现学习、认知、社交缺陷等更多症状。
NF1是一种治疗难度大、致畸率和致残率高的多系统综合征,对患儿及家庭造成沉重的经济和心理负担,显著影响患儿生活质量。NF1还存在恶变风险,在临床上属于疑难杂症。
丛状神经纤维瘤(plexiform neurofibromas,PN)在NF1患者中的发病率高达30%-50%。研究发现88%的NF1患者在基线时至少有1种与PN相关的并发症,包括毁容、运动功能障碍、视力障碍等。如未及时干预,伴随病程进展并发症概率会升高,8%-13%的PN会恶变为恶性周围神经鞘瘤(MPNST)。

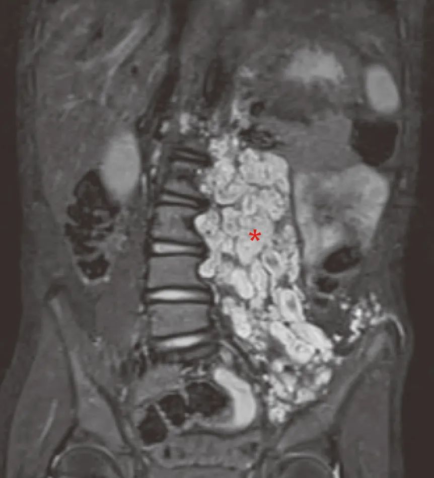
8岁男孩NF1-PN患者的核磁共振影像
(星号部位,源自文献:DOI: 10.1016/S1474-4422(14)70063-8)
结合临床症状和美容考虑,丛状神经纤维瘤首选手术切除。但由于PN沿神经弥漫生长,与周围组织边界区分不清,难以完全切除。并且对于发生在头颈部、低龄的儿童PN患者来说,切除更需谨慎。
PN手术治疗除了难以完全切除,还存在复发率高的难题。回顾性研究报道其复发率为25%-66%,且可能出现并发症,如围术期出血和神经功能缺损。
鉴于PN手术治疗的有限效果,科研人员一直在探索NF1-PN发病机制及开发有效的治疗策略。新型靶向药物对NF1临床试验的结果,有望为其治疗提供全新的选择,如MEK抑制剂、mTOR抑制剂、酪氨酸激酶抑制剂等。
靶向治疗:丛状神经纤维瘤患者的曙光
令人欣喜的是,NF1发病机制逐步明朗。
NF1属于NF1基因突变引起的常染色体遗传罕见病。研究发现,NF1基因缺陷造成神经纤维瘤蛋白(NF1)失活,导致Ras-MAPK信号通路激活时间延长,造成细胞过度增殖,同时延长PI3K-Akt信号通路激活时间,使细胞免于凋亡。
NF1分子机制(源自文献:doi: 10.3390/ijms22115850)
MEK(丝裂原活化蛋白激酶激酶)处于MAPK信号通路中间部分,可以被上游的激酶(如RAF)激活,并进一步磷酸化并激活下游的ERK蛋白激酶,从而促进细胞的生长、分化、增殖等活动。
2016年,司美替尼(Selumetinib)的Ⅰ期临床试验结果为NF1-PN患者带来曙光,71%的患儿肿瘤体积缩小程度≥20%。随后开启的多中心的单臂研究SPRINT试验表明,Selumetinib治疗后患者的总缓解率(ORR)达到68%,3年无进展生存率(PFS)达84%,最佳响应时的中位缩瘤体积27.9%,74%患者疼痛显著缓解。
基于此,阿利斯康(AstraZeneca)和默沙东(MSD)共同开发的Selumetinib(商品名Koselugo,科赛优)于2020年4月在美国首次获得FDA的批准上市,2023年5月在中国正式获批上市,并纳入国家医保目录。
Mirdametinib是另一种在研的新型小分子MEK1/2抑制剂,由SpringWorks Therapeutics公司研发。该疗法目前正在接受美国FDA与欧洲药品管理局(EMA)的审评,FDA预计在2025年2月28日公布审评结果。
Mirdametinib的关键2b期ReNeu试验已达到主要终点,患者的肿瘤体积显著、持久地减小,疼痛和健康相关生活质量也获得迅速、持续且具有临床意义的改善。试验结果发表在《Journal of Clinical Oncology》。

两名NF1-PN患者(分别为8岁男孩和7岁女孩)的治疗结果,肿瘤体积分别缩小82%和49%。(图片源自doi: 10.1200/JCO.24.01034)
MEK小分子抑制剂研究进展
MEK小分子抑制剂在丛状神经纤维瘤治疗取得良好效果,那么在其他疾病治疗效果怎样呢?
在许多癌症中,蛋白激酶MEK活性高度增强,使肿瘤细胞无限增殖和生长。抑制MEK活性,阻断下游通路,抑制上游基因突变引起的异常活化,进而抑制肿瘤进展。因此,MEK被认为是一个非常重要的治疗癌症的靶点。
截止2024年底,全球已有5款MEK1/2抑制剂获批上市,其中科州药物研发的妥拉美替尼(Tunlametinib,商品名:科露平)是首款国产MEK抑制剂,也是全球首个获批针对NRAS突变晚期黑色素瘤的靶向药物。
全球获批上市的MEK1/2抑制剂
名称 | 上市时间 | 研发单位 | 适应症 |
Trametinib(曲美替尼,商品名:Mekinist) | 2013年FDA,2022年国内获批 | GSK | BRAF V600突变阳性不可切除或转移性黑色素瘤、晚期非小细胞肺癌、ERK激酶突变的滤泡性甲状腺癌等 |
Cobimetinib(考比替尼,商品名:Cotellic) | 2015年FDA,国内未获批 | Exelixis、Roche | BRAF V600阳性不可切除或转移性黑色素瘤 |
Binimetinib(比美替尼,商品名:Mektovi) | 2018年FDA,国内未获批 | Pfizer、Array Biopharma | BRAF V600阳性不可切除或转移性黑色素瘤 |
Selumetinib(司美替尼,商品名:Koselugo) | 2020年FDA,2023年国内获批 | AstraZeneca | 1型神经纤维瘤病(NF1)相关的丛状神经纤维瘤(PN) |
Tunlametinib(妥拉美替尼,商品名:科露平) | FDA未获批,2024年国内获批 | 科州药物 | NRAS突变的晚期黑色素瘤 |
MEK抑制剂新药辈出,临床不断。
目前有多个MEK抑制剂进入不同的研发阶段,涉及企业有复星医药、罗氏、恒瑞医药、辉瑞等。据统计在研MEK1/2项目主要为小分子抑制剂(19个),其他还有靶向蛋白水解嵌合体(PROTAC)、分子胶等。

源自智慧芽数据库
其中,有多个项目拟用于治疗神经纤维瘤病。
NFX-179凝胶是NFlection Therapeutics公司开发的局部外用治疗1型神经纤维瘤病(NF1)创新药,处于临床II期阶段。NFX-179通过皮肤表面向肿瘤递送容易被代谢降解的MEK抑制剂,抑制Ras-MAPK通路的过度激活,在Ⅱa期试验中获得积极效果。
复迈替尼(FCN-159)是复星医药自主研发发MEK1/2抑制剂,拟用于治疗晚期实体瘤、1型神经纤维瘤病、组织细胞肿瘤、动静脉畸形等疾病。于2024年5月被CDE纳入优先审评,用于治疗2岁及以上儿童NF1-PN,目前正在进行随机、双盲、安慰剂对照的多中心III期临床研究。
除此之外,还有两款用于治疗1型神经纤维瘤病的MEK抑制剂正在研发中,分别是正大天晴研发的TQ-B3234处于临床Ⅰ期,Pasithea Therapeutics研发的CIP-137401处于临床前阶段。
总之,MEK1/2抑制剂的开发和研究是当前癌症治疗领域的热点,取得的研究进展令人鼓舞,但也面临耐药性的难题。随着对MEK分子机制和突变体研究的不断深入,以及他治疗方法联合使用,在克服耐药性和提高疗法方面具有极大潜力,为为众多癌症患者带来新的曙光。
MEK激酶抑制剂发现解决方案
SignalChem Biotech(义翘神州全资子公司)专注于研究、开发和生产高质量酶类蛋白产品,已成功开发20多种MEK激酶野生型和突变型蛋白,助力抑制剂药物发现和开发项目。
SignalChem Biotech深耕酶领域二十多年,始终坚持“激酶活性为王”。SignalChem Biotech已成功开发出1100多种高活性重组激酶,包括700+野生型激酶及400+临床相关突变体,并提供高度定制化的酶蛋白和检测方法开发服务、以及快速高效的化合物筛选和分析服务,为科学家提供从基础研究到药物发现及开发的全方位解决方案。
免责声明:义翘神州内容团队仅是分享和解读公开的研究论文及其发现,专注于介绍全球生物医药研究新进展。本文仅作信息交流用,文中观点不代表义翘神州立场。随着对疾病机制研究的深入,新的实验结果或结论可能会修改或推翻文中的描述,还请大家理解。
本文不属于治疗方案推荐,如需获得治疗方案指导,请前往正规医院就诊。本司产品目前仅可用于科学研究,不可用于临床治疗。
【参考文献】
1. SpringWorks Therapeutics Announces Publication of the Pivotal Phase 2b ReNeu Trial Evaluating Mirdametinib in Adults and Children with NF1-PN in the Journal of Clinical Oncology.
2. FDA Grants Priority Review to SpringWorks Therapeutics’ New Drug Application for Mirdametinib for the Treatment of Adults and Children with NF1-PN.
3. Moertel C.L. et al. (2024) “ReNeu: A Pivotal, Phase IIb Trial of Mirdametinib in Adults and Children With Symptomatic Neurofibromatosis Type 1-Associated Plexiform Neurofibroma” Journal of Clinical Oncology. DOI: https://doi.org/10.1200/JCO.24.01034
4. Chunhui Jiang, et al. Tumorigenesis in neurofibromatosis type 1: role of the microenvironment. Oncogene, 2021. https://doi.org/10.1038/s41388-021-01979-z
5. Angela C Hirbe, David H Gutmann. Neurofibromatosis type 1: a multidisciplinary approach to care. Lancet Neurol, 2014. DOI: 10.1016/S1474-4422(14)70063-8
6. 智慧芽数据库https://account.zhihuiya.com
联系邮箱:kefu@labbase.net
版权与免责声明
- 凡本网注明“来源:来宝网”的所有作品,版权均属于来宝网,转载请必须注明来宝网, https://www.labbase.net,违反者本网将追究相关法律责任。
- 本网转载并注明自其它来源的作品,目的在于传递更多信息,并不代表本网赞同其观点或证实其内容的真实性,不承担此类作品侵权行为的直接责任及连带责任。其他媒体、网站或个人从本网转载时,必须保留本网注明的作品来源,并自负版权等法律责任。
- 如涉及作品内容、版权等问题,请在作品发表之日起一周内与本网联系,否则视为放弃相关权利。



