现在位置:首页>医疗器械>医用超声仪器>多普勒超声波诊断仪>
湖北彩色多普勒超声系统迈瑞DC-35/DC-38
湖北彩色多普勒超声系统迈瑞DC-35/DC-38
价 格:询价
产 地:广东更新时间:2025/10/14 11:19:37
品 牌:迈瑞型 号:DC-35/DC-38
状 态:正常点击量:2000
联 系 人:朱经理
电 话:027-88021613
传 真:
等 级: (第 12年)
性 质:生产型,贸易型,
联系我时请说在来宝网上看到的,谢谢!
湖北彩色多普勒超声系统迈瑞DC-35/DC-38 湖北迈瑞超声民营签约代理
移植迈瑞先进技术,推出迈瑞DC-38全身应用经济型彩超,容纳优异的临床图像、多样的性能于一身,提供仔细而广泛的临床应用,提高诊断信心;传承迈瑞有效、智能的工作流设计,带来更流畅、更简便的操作体验。
先进技术,展现优质图像
DC-38蕴藏先进的成像技术,呈现清晰、仔细的临床图像,满足高质量的临床需求。
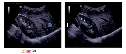
智能斑点噪声成像iClear
智能图像优化处理技术,压制二维图像的斑点噪声,增强图像对比分辨率,使组织边界显示更清晰、回声更细腻。
智能空间复合成像iBeam
多角度偏转图像复合,得到佳的对比分辨率、更多的组织结构信息;减少声影,减少斑点噪声,使图像更加清晰。
宽带频移谐波成像PSHI
宽带频移谐波成像可获取更纯净的谐波和更高的谐波采样率,得到更好的分辨率、更少的噪音。

产品参数
湖北彩色多普勒超声系统迈瑞DC-35/DC-38
如何对超声系统进行简单的维护
超声成像技术在医院中具有十分重要的地位。B型超声系统(黑白超)成为医院普通使用的医学检查手段,而超声多普勒系统(彩超)为诊断心血管疾病提供了有力的手段。为确保超声系统长期高效地运行,合理地进行维护和修理具有十分重要的意义。 如何对超声系统进行简单的维护.
要使超声系统安全、稳定地工作,首先必须为它创造一个正常的环境。超声系统是精密的电子仪器,其对温度、湿度、空气有严格的要求。在机房安装空调、除湿机、空气净化器很必要。
超声系统对电源电压和频率的稳定性也要求很高。市电必须经过稳压器接人机器。稳压器的大功率必须是机器大功率的1.5倍以上。电源线路布设要符合规范,超声系统的地线必须专门单独埋设。在机房应严禁使用移动电话,机房应远离强辐射源(如无线通讯基地站等),否则应考虑进行屏蔽。
由于超声系统使用频繁,其故障率较高。维修应变被动为主动,有条件的可作定期保养性检修,将故障处理在萌芽状态。保修期中的故障应直接联系厂家解决,保修期外的故障尽量先自己解决,解决不了的,尽快联系厂家。
现在厂家一般不给用户维修手册,如果提供,也只是结构图和流程图,没有具体电路图,这给医院维修带来了很大困难。一般的机器都具有自检程序,可以提示故障发生的部位,科学地利这些提示,可以大大缩短维修时间。
超声系统从结构上大体都可分为控制和成像电路、电源以及外部设备(显示器、控制面板、探头、录相机、打印机等)。控制和成像的电路板,结构紧凑,多采用超大规模集成电路,而且普遍采用表面安装技术,电路板为多层,难于查找和维修。对医院来说,大多数情况下只能进行板级维修,找厂家更换。而大部分电源和外部设备采用分立元件较多,相对集成化较低,也相对独立,宜于自主维修。
根据故障现象,仔细分析,认真查找明显痕迹,从易到难,分步排除。例如:有一台麦迪逊88便携式黑白超,屏幕扫描区全白,字符显示混乱。根据现象可以判断为电路故障。拆机后发现其CPU板上3.6V镍铬电池失效后漏出腐蚀性液体,将板上部分电路腐蚀,造成一PAL集成块损坏。恢复电路,更换电池和PAL集成块后,机器恢复正常。
总体上说,控制和成像电路部分出故障的情况较少,而大量的故障则出现在电源和经常使用的外部设备上。电源由于耗散功率大,若环境散热不良,易引起故障。在外部设备中,机械部分,例如:控制面板上的按键和轨迹球,由于使用频繁,易出问题。按键通常是卡住或磨损,轨迹球则是灰尘和耦合剂污染,造成内部机械部分失灵,或光路阻断。另外,例如:有一台惠普1000型彩超,由于探头经常插拔更换,磨损了探头识别微动开关,造成机器认为没插探头。外部设备相对独立,比较容易查找问题。
产品介绍
湖北彩色多普勒超声系统迈瑞DC-35/DC-38产品优势
智能诊断,满足多样临床需求
DC-38包含一系列实用的临床功能和多种探头,拓展临床使用范围,提供丰富的临床解决方案。
解剖M型Free Xros M
三线解剖M型能从任意角度进行扫描取样,对不同节段的心肌运动速度、舒张-收缩时的心肌厚度变化进行细致的定量分析。
肝肾结合面 肾动脉PW频谱
容积成像3D/4D
支持多种成像模式多方位、多切面、立体观察病灶,为临床提供更多的诊断信息。3D/4D快速切换、超声断层成像等快捷容积成像功能,令诊断变得轻松自如。
智能立体光影成像iLive
采用全新的演染模式,*大程度还原胎儿真实信息,获得生动、真实的胎儿图像,提升图像立体感。
![MQX]D3CXXF5%6@0Y48H%JG1.png MQX]D3CXXF5%6@0Y48H%JG1.png](/upload/202104/13/202104131428205705.png)